委託検査予約の流れ

※検査費用は、1ヵ月分を翌月まとめて、貴施設へ請求させていただきます。
【検査のご予約・書類送信先】
三朝温泉病院(代表)TEL 0858-43-1321/FAX 0858-24-6252
必要書類ダウンロード
特 徴
当院のMRIは、平成21年7月1日に導入した、Philips社製の1.5T(テスラ)装置Achievaです。
高感度の各種専用コイルなどを導入しておりますので、非常に高精細で、MRIの苦手とされていた呼吸の動きなどの影響も補正でき、短時間に様々な最新撮影法の画像を提供できる為、患者さまに優しい装置です。
「頭が痛い」「めまいがする」「物忘れがある」「脳梗塞や動脈瘤が心配」「肩こりがひどい」「手や足に痺れや痛みがある」「腰や膝が痛い」などの声があれば、一度MRI検査のご利用は如何でしょうか。
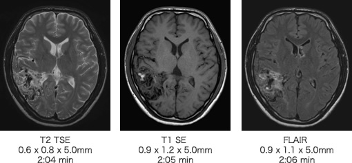
画像例(頭部領域)

画像例(頭部領域 MRアンギオグラフィー)

画像例(頭部領域 SWIによる微小出血の検索、梗塞or出血の鑑別)




