委託検査予約の流れ

※検査費用は、1ヵ月分を翌月まとめて、貴施設へ請求させていただきます。
【検査のご予約・書類送信先】
三朝温泉病院(代表)TEL 0858-43-1321/FAX 0858-24-6252
必要書類ダウンロード
- CT検査依頼票 PDF形式(156kb)
特 徴
当院のCTは、16列のマルチスライスです。
16列にてデータ収集いたしますので、短時間に広範囲で高画質の画像を提供でき、横断像だけでなく様々な方法により病変を観察して頂けるよう自由にオーダーいただけます。また、3D表示等もルーチンでご指示いただける体制としております。
「健康診断の精査」「経過観察」「内蔵脂肪の評価」などのご利用はいかがでしょうか。
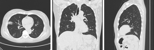
画像例(胸部)
- 120kv 210mAs/scan time 11sec

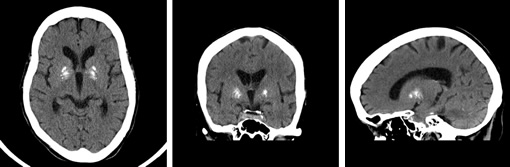
画像例(頭部)
- 120kv 390mAs/scan time 20sec

画像例(内蔵脂肪測定)

赤色は内臓脂肪、白色は皮下脂肪を表示。一般的な指標として、内臓脂肪が100cm³以上となると内臓脂肪型肥満と言われます。



