脳・睡眠ドックとは
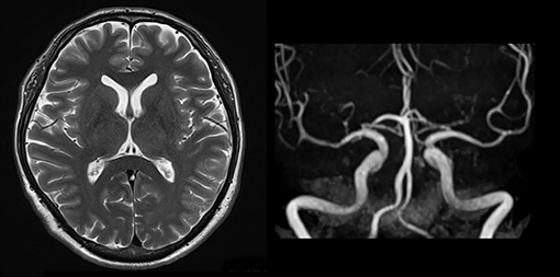
- MRIで脳蓋内出血、梗塞、脳腫瘍の有無の検査を行います。
- タブレットを用いて記憶力、注意力などを簡単・短時間で脳機能を測定。人工知能で脳年齢を調べます。
- 終夜睡眠ポリグラフィーで睡眠の質、睡眠時無呼吸症候群の検査を行います。
頭部MRI検査

タブレットで脳年齢検査

終夜睡眠ポリグラフィー


こんな方にお勧めです
- 短時間で頭部検査と睡眠検査を一度に行いたい。
- 睡眠を十分とっても疲れが抜けない、寝足りない。
- 起きたばかりなのに体がだるい。
- 集中力が低下した。
気になることがある方は、一度ご相談下さい。
検査スケジュール
検査日当日
| 所要時間 | |
|---|---|
| - | 受付:医事課へお越しください |
| 10分 | 診察:検査の説明、睡眠評価装置の説明 検査結果報告日の予約 ※検査後14日以降になります |
| 30分 | MRI検査:頭部MRI・頭頚部MRA |
10~15分 |
タブレットを用いた検査:CQテスト |
| - | 終了 |
ご自宅にて
睡眠評価装置を装着し測定していだきます
結果説明(検査から2週間後以降)
医師による結果説明をさせていただきます料金について
29,700円/人(税込)下記の症状がある方は睡眠時無呼吸症候群かもしれません
一度、当院の睡眠時無呼吸・呼吸器外来へご相談ください
主な症状
- 大きな「いびき」をかく
- 日中に眠気や倦怠感がある
- 起床時に頭痛がある、頭が重い
- 夜間頻尿
担当医 :呼吸器内科 藤井昌学診察日 :毎週金曜日 11時~16時(予約制)
問合先 :0858-43-1321
受付時間:平日 12時~17時




